Ceramic Implantology
What is Ceramic Implantology?
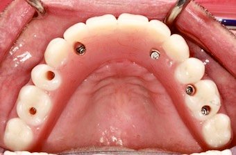
Ceramic Implantology uses zirconia implants as a metal-free alternative to titanium. These implants are highly biocompatible, making them ideal for those who have sensitivities to metals. They offer a more natural aesthetic and are ideal for patients seeking a holistic approach to dental care. The procedure involves the placement of zirconia implants into the jawbone, which serves as a strong foundation for replacement teeth.



Treatments Under Ceramic Implantology
In this section, we dive into the various advanced treatments under Ceramic Implantology. Each service is tailored to address specific patient needs, ensuring the best possible outcomes through modern, minimally invasive procedures.
Atraumatic Tooth Extraction
Our atraumatic tooth extraction technique minimizes damage to the surrounding bone and tissue, ensuring that the area is perfectly prepared for implant placement. This approach reduces pain, swelling, and recovery time, providing a smooth transition to implant surgery.
Metal Allergy Diagnosis
We offer comprehensive metal allergy testing to ensure that ceramic implants are the best option for you. By identifying potential metal sensitivities, we can avoid complications and create a treatment plan tailored to your unique needs.
Titanium Implant Removal
For patients experiencing issues with titanium implants, we provide safe and effective removal. This process is done with precision to minimize discomfort and tissue damage, allowing for the placement of biocompatible ceramic implants as a better alternative.
Flapless Implant Placement
Flapless implant placement is a minimally invasive technique that eliminates the need for incisions, reducing post-operative discomfort and speeding up recovery. This method allows for faster healing and less swelling, providing a more comfortable experience.
Minimally Invasive Surgery
We use Piezosurgery and magnetic mallets for minimally invasive procedures that ensure precision and reduce damage to surrounding tissues. These technologies improve the accuracy of implant placement and shorten recovery times, ensuring optimal results.
Bone Augmentation
Bone augmentation techniques, such as bone grafting and sinus lifts, help rebuild insufficient bone mass to ensure that implants are securely placed. These procedures restore bone volume and create a stable foundation for long-lasting implants.
Split Crest & Sinus Lift
Split crest and sinus lift procedures are used to increase bone width and height in the jaw, making it possible to place implants even when there’s insufficient bone. These methods provide the necessary support for successful implant integration.
Implant BioActivation
Implant BioActivation uses electrical stimulation to enhance the bone-implant integration process, promoting faster healing and improving the success rate of the implant. This advanced technique accelerates tissue regeneration, ensuring quicker and more effective outcomes.
Monoblock, Two-Piece, and Customized
We offer a variety of zirconia implants, including monoblock, two-piece, and customized options. Each implant type is carefully chosen based on your specific dental needs, ensuring a perfect fit, natural appearance, and long-term durability.
Metal-Free Prosthesis
Our metal-free prosthetics are made from high-quality ceramics, ensuring a seamless blend with natural teeth. These prosthetics provide the same strength and durability as traditional options without the risks associated with metal allergies.
Biologic Driven Implantology
Biologic driven implantology focuses on integrating the body’s natural healing processes into the implant procedure. By using biologically compatible materials, we optimize implant success and ensure the best possible long-term results for our patients.
Aesthetic Dentistry
Aesthetic dentistry enhances both the function and appearance of your smile. Using advanced ceramic implants, we restore teeth to their natural beauty, ensuring that your smile is as beautiful as it is functional.
